Table of Contents
« prev
next »
Washington University Experience
|
NEURODEGENERATION
|
ALS
|
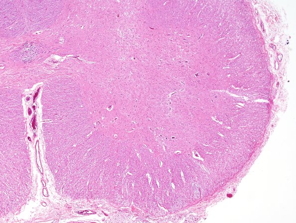
5F1 FTLD-ALS-TDP43 (Case 5) N13 H&E 5.jpg
The lumbosacral cord is substantially diminished in anterior horn neurons. (H&E)
Image Info
Camera Maker:
Olympus Corporation
Camera Model:
DP70
Original Time Taken:
14-10-2013
Shutter Speed:
1/1200 sec
ISO Sensitivity:
200
Metering Mode:
Spot
Gallery RSS
|
Archive View
|
Login
|
Powered by
Zenphoto