Table of Contents



Washington University Experience | NEURODEGENERATION | ALS | 6B6 ALS (Case 6) Anterior Horn Neurons H&E 3

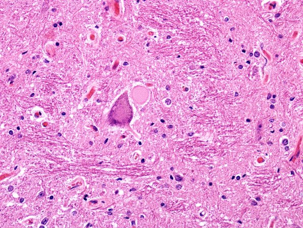
6B6 ALS (Case 6) Anterior Horn Neurons H&E 3
6B6,7 Admixed with the anterior horn neurons are large glassy axonal spheroids. (H&E)


Gallery RSS RSS Feed | Archive View | Login | Powered by Zenphoto