Table of Contents
Washington University Experience | NEURODEGENERATION | ALS | 7G1 ALS (Case 7) N12 NF 20X copy
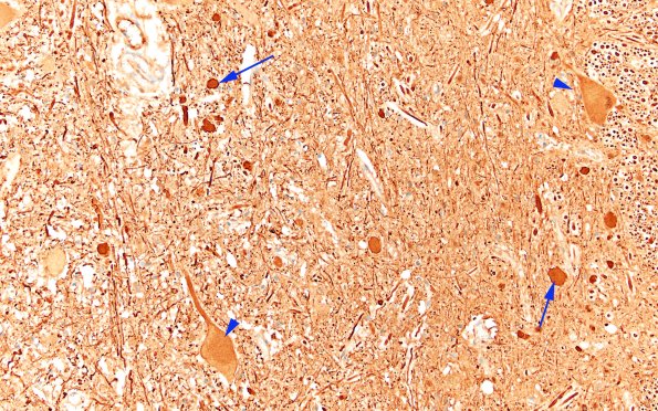
Neurofilament immunohistochemistry highlights axonal spheroids (arrows) within the ventral horn, as well as cytoplasmic staining in motor neurons (arrowhead). (Bielschowsky)
