Table of Contents
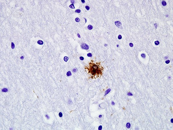
Washington University Experience | NEURODEGENERATION | Aging-Related Astroglial Tauopathy (ARTAG) | 5A5 Age related tau astrogliopathy (ARTAG, Case 5) 100X PHF1 7.jpg
These cells are more consistent with fuzzy astrocytes. (pTau IHC)
