Table of Contents
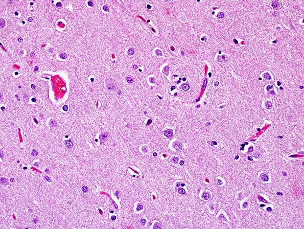
Washington University Experience | NEURODEGENERATION | Alzheimer Disease | Beta Amyloid Plaques | 1A5 Senile Plaques, diffuse area A H&E 40X.jpg
There are numerous diffuse plaques win this image hich are nearly invisible in this H&E stain.
