Table of Contents



Washington University Experience | NEURODEGENERATION | Alzheimer Disease | Beta Amyloid Plaques | 5D1 AD PHF 2

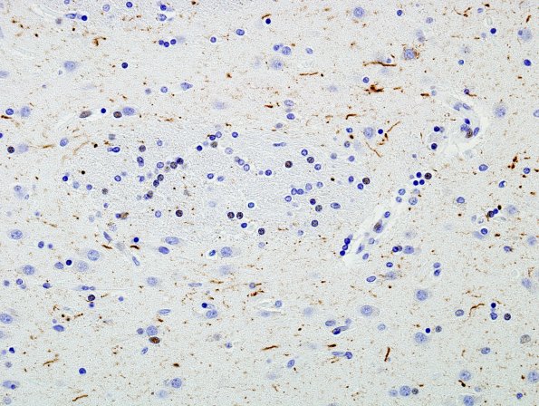
5D1 AD PHF 2
5D1,2 Only scattered neurites are found in the basal ganglia. (pTau IHC)


Gallery RSS RSS Feed | Archive View | Login | Powered by Zenphoto