Table of Contents



Washington University Experience | NEURODEGENERATION | Alzheimer Disease | Beta Amyloid Plaques | 6A4 AD (CAA) capillaries H&E 3 copy

6A4 AD (CAA) capillaries H&E 3 copy
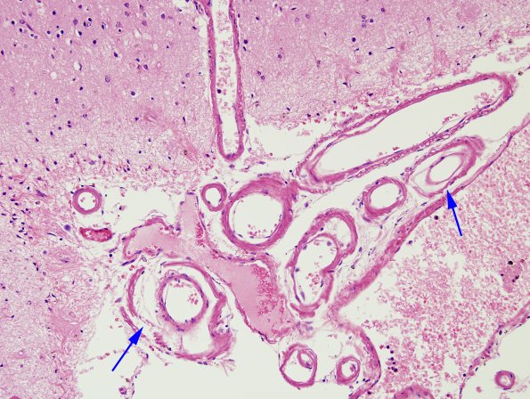
Unusual double barrel vessels (arrows) represent a common vasculopathy. (H&E)


Gallery RSS RSS Feed | Archive View | Login | Powered by Zenphoto