Table of Contents
« prev
next »
Washington University Experience
|
NEURODEGENERATION
|
Alzheimer Disease
|
Beta Amyloid Plaques
|
6B7 AD L1 BAmyloid 1.jpg
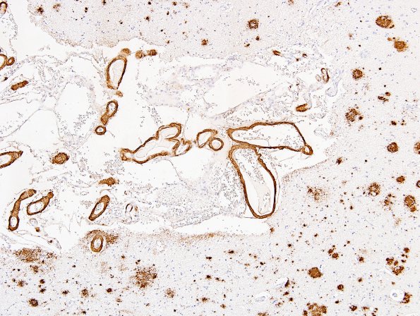
All types of vessels may have amyloid angiopathy including capillaries. (BAP IHC)
Image Info
Camera Maker:
Olympus Corporation
Camera Model:
DP70
Original Time Taken:
15-08-2013
Shutter Speed:
1/285 sec
ISO Sensitivity:
200
Metering Mode:
Spot
Gallery RSS
|
Archive View
|
Login
|
Powered by
Zenphoto