Table of Contents
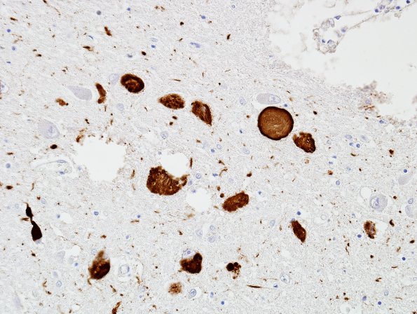
Washington University Experience | NEURODEGENERATION | Alzheimer Disease | Tau - Neurofibrillary Tangles, Threads & Plaques | 3B2 AD L11 Pons Raphe PHF1 3.jpg
3B2,3 Higher magnification of globose NFT-involved neurons from the pontine raphe. (PHF IHC)
