Table of Contents
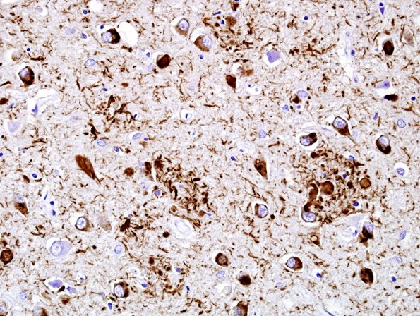
Washington University Experience | NEURODEGENERATION | Alzheimer Disease | Tau - Neurofibrillary Tangles, Threads & Plaques | 3E8 AD PHF1 L5 40X.jpg
Additional PHF immunoreactive neuritic process in several examples of neuritic plaques.
