Table of Contents
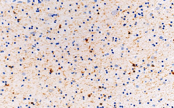
Washington University Experience | NEURODEGENERATION | Argyrophilic Grain Disease (AGD) | 3A6 Argyrophilic Grain Dementia (Case 3) L23 PHF 40X White Matter (WM)
3A6,7 The white matter in the amygdala/entorhinal cortex shows numerous glial inclusions. (PHF IHC)
