Table of Contents
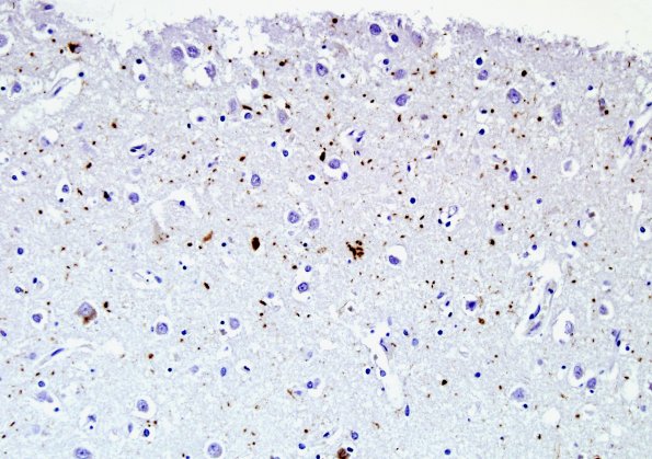
Washington University Experience | NEURODEGENERATION | Argyrophilic Grain Disease (AGD) | 5B1 Argyrophilic Grain Disease (AGD, Case 5) PHF1.jpg
5B1-4 Also in the amygdala, a few tau-immunoreactive grains, and sparse coiled bodies are seen.
