Table of Contents
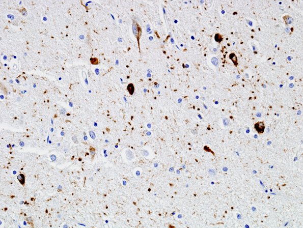
Washington University Experience | NEURODEGENERATION | Argyrophilic Grain Disease (AGD) | 6B2 Argyrophilic grains, AGD, entorhinal cortex (Case 6) PHF 4
Tau immunohistochemistry also reveals some tau-immunoreactive astrocytic processes and coiled bodies; tau grains are best appreciated in the entorhinal cortex. Frequent tangles are appreciated in the entorhinal cortex, which also has neuronal loss and gliosis. (PHF IHC)
