Table of Contents
« prev
next »
Washington University Experience
|
NEURODEGENERATION
|
Corticobasal Degeneration (CBD)
|
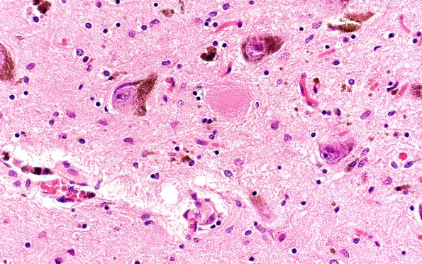
5C5 CBD N11 (Case 5) H&E SN 100X
Balloon achromasic neurons can occur in extracortical sites. (H&E)
Image Info
Camera Maker:
Olympus
Camera Model:
DP74
Shutter Speed:
36/9863 sec
Metering Mode:
Multi-Spot
Gallery RSS
|
Archive View
|
Login
|
Powered by
Zenphoto