Table of Contents
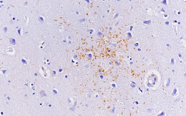
Washington University Experience | NEURODEGENERATION | Corticobasal Degeneration (CBD) | 7D3 CBD (Case 7) L1 PHF1 40X 1
7D3,4 There were frequent individual tau immunoreactive processes as well as astrocytic plaques. (PHF1 IHC)
