Table of Contents
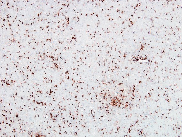
Washington University Experience | NEURODEGENERATION | Crystal Storing Histiocytosis | 1C1 Crystal-Storing Histiocytosis (Case 1) CD68 24
1C1-5 Images of crystals in CD68 immunostained sections. ---- This low magnification image demonstrates both macrophages and activated microglia. CD68 IHC)
