Table of Contents



Washington University Experience | NEURODEGENERATION | Crystal Storing Histiocytosis | 1E3 Crystal-Storing Histiocytosis (Case 1) ISH Kappa 5

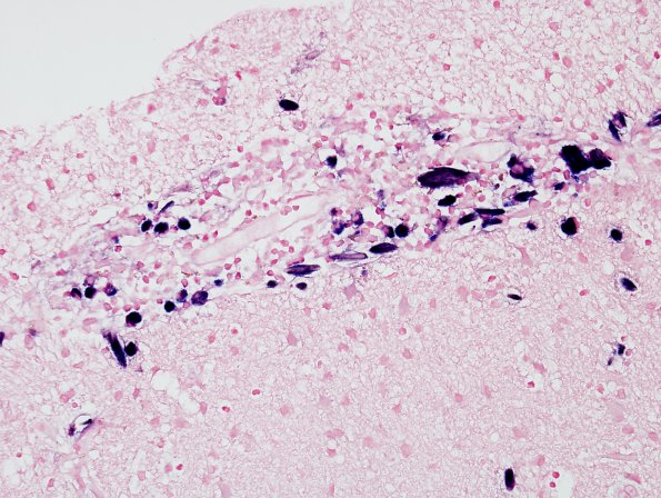
1E3 Crystal-Storing Histiocytosis (Case 1) ISH Kappa 5
1E3,4 Crystals and cell cytoplasm staining. (kappa ISH).


Gallery RSS RSS Feed | Archive View | Login | Powered by Zenphoto