Table of Contents
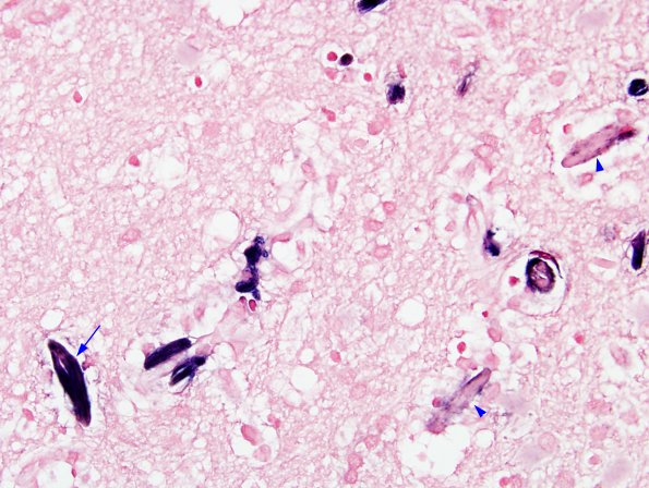
Washington University Experience | NEURODEGENERATION | Crystal Storing Histiocytosis | 1E5 Crystal-Storing Histiocytosis (Case 1) ISH Kappa 8 copy
Notice that there are crystals which do (arrow) and do not (arrowheads) stain in the same image (kappa ISH)
