Table of Contents
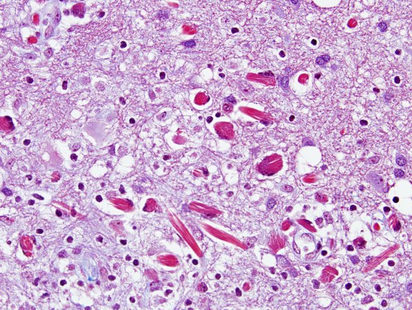
Washington University Experience | NEURODEGENERATION | Crystal Storing Histiocytosis | 1G3 Crystal-Storing Histiocytosis (Case 1) Trichrome 4
A trichrome stain results in pronounced labeling of the crystals, seen at several magnifications. (trichrome)
