Table of Contents
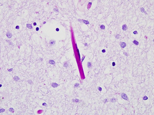
Washington University Experience | NEURODEGENERATION | Crystal Storing Histiocytosis | 1I5 Crystal-Storing Histiocytosis (Case 1) PAS & Diastase 6
Most of the crystals are stained variably but typically intensely with PAS with diastase digestion (PAS with Diastase)
