Table of Contents



Washington University Experience | NEURODEGENERATION | Crystal Storing Histiocytosis | 1J1 Crystal-Storing Histiocytosis (Case 1) Tau 5 copy

1J1 Crystal-Storing Histiocytosis (Case 1) Tau 5 copy
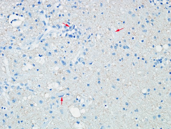
1J1,2 Immunostain for tau protein fails to label the crystals (arrows, pTau IHC)


Gallery RSS RSS Feed | Archive View | Login | Powered by Zenphoto