Table of Contents
Washington University Experience | NEURODEGENERATION | Crystal Storing Histiocytosis | 2A4 Crystal-Storing Histiocytosis (AANP DSS 2012-Case 10) 4 Crystals copy
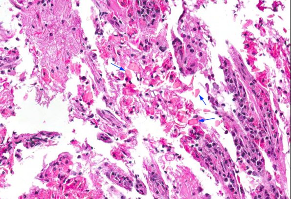
At the specimen edge the crystals (arrows) have been artificially released from their histiocytes and lie in the extracellular space (H&E)
