Table of Contents
« prev
next »
Washington University Experience
|
NEURODEGENERATION
|
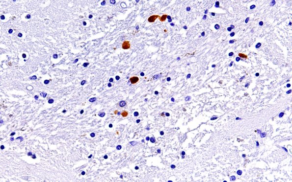
Globular Glial Tauopathy (GGT)
|
1G3 GGT (Case 1) L17 H&E 60X 3
Additional GGI in the basal ganglia showing variability in frequency and substructure.
Image Info
Camera Maker:
Olympus
Camera Model:
DP74
Shutter Speed:
17/1826 sec
Metering Mode:
Multi-Spot
Gallery RSS
|
Archive View
|
Login
|
Powered by
Zenphoto