Table of Contents
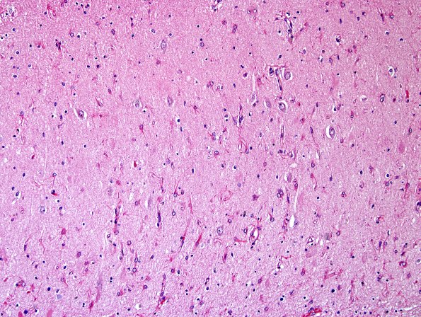
Washington University Experience | NEURODEGENERATION | Hippocampal Sclerosis of Aging | 2B4 Hippocampal Sclerosis (Case 2) L5 H&E 20X 2.jpg
2B4,5 Higher magnification images of the CA1 subfield showing numerous fibrillary astrocytes. (H&E)
