Table of Contents
« prev
next »
Washington University Experience
|
NEURODEGENERATION
|
Hippocampal Sclerosis of Aging
|
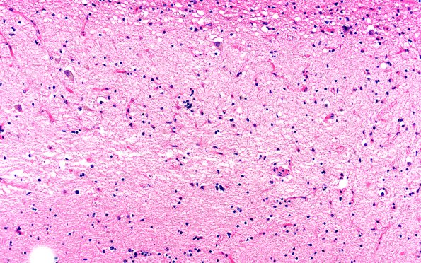
7B5 HS no AD (A41273) H&E 20X
The epicenter of the devastation of CA1. (H&E)
Image Info
Camera Maker:
Olympus
Camera Model:
DP74
Shutter Speed:
11/10000 sec
Metering Mode:
Multi-Spot
Gallery RSS
|
Archive View
|
Login
|
Powered by
Zenphoto