Table of Contents
« prev
next »
Washington University Experience
|
NEURODEGENERATION
|
Hippocampal Sclerosis of Aging
|
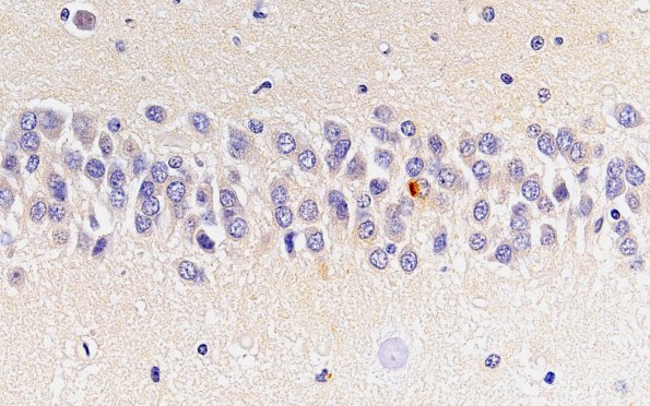
7C2 HS no AD (Case 7) TDP43 60X
Scattered TDP-43 immunoreactive inclusions involve the dentate gyrus. (TDP-43 IHC)
Image Info
Camera Maker:
Olympus
Camera Model:
DP74
Shutter Speed:
3/400 sec
Metering Mode:
Multi-Spot
Gallery RSS
|
Archive View
|
Login
|
Powered by
Zenphoto