Table of Contents
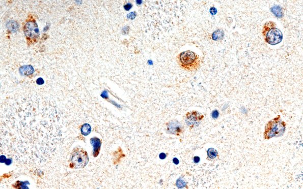
Washington University Experience | NEURODEGENERATION | Huntington Disease | 13E Huntington's Disease (Case 13) L6 1C2 100X 3
Polyglutamine inclusions were found in residual neurons. (1C2 IHC) ---- Comment: Gross examination demonstrates atrophy of the caudate nucleus consistent with Grade 2 (range 0, normal to 4, severe) in the Huntington's Disease Neuropathological Grading Scheme of Vonsattel et al. (PMID: 9596408). Molecular genetic analysis confirms a polyglutamine expansion in the huntingtin gene in this patient. Alzheimer's disease-type changes are very modest and unlikely to have contributed to the modest cognitive impairment during life. The vascular changes were also modest. Taken together, the patient's motor problems, cognitive, and psychiatric symptoms can be sufficiently explained by Huntington's disease.
