Table of Contents
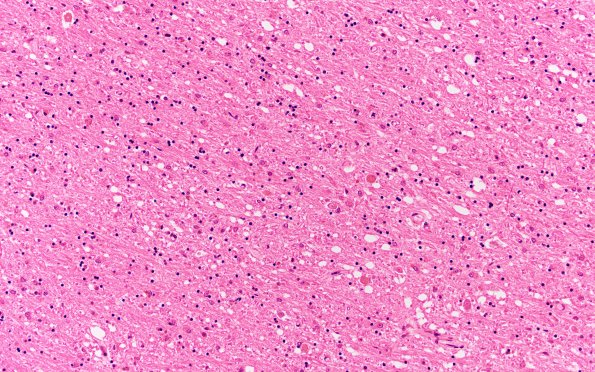
Washington University Experience | NEURODEGENERATION | Huntington Disease | 18B2 (Case 18) N2 H&E 20X
Sections of the basal ganglia demonstrate significant neuronal loss and remarkable astrocytosis, including Alzheimer's type II astrocytes, in the caudate and (less severely) the putamen. Some neurons within the striatum exhibit subtle eosinophilic intranuclear inclusions that are distinct from nucleoli. The globus pallidus exhibits mild astrocytosis and vessels with mild intramural mineralization. (H&E)
