Table of Contents
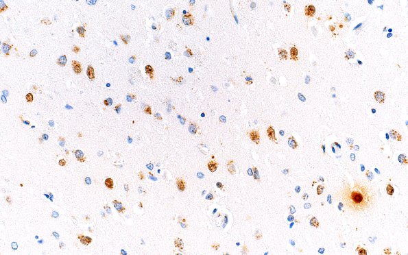
Washington University Experience | NEURODEGENERATION | Huntington Disease | 18C1 (Case 18) N2 1C2 H&E 40X 2
18C1,2 Immunohistochemistry with an anti-polyglutamine antibody (1C2) highlights intranuclear inclusions within many striatal neurons and a few globus pallidus neurons, and also shows granular nuclear and paranuclear reactivity.
