Table of Contents
« prev
next »
Washington University Experience
|
NEURODEGENERATION
|
Huntington Disease
|
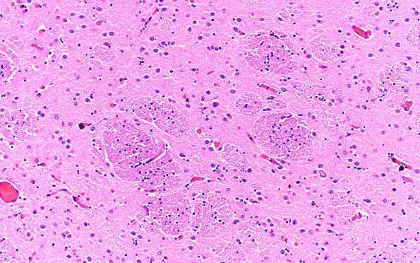
20B2 AD (Case 20) L6 H&E 20X
Microscopic sections show little loss of neurons and lack of astrocytosis. (H&E)
Image Info
Camera Maker:
Olympus
Camera Model:
DP74
Shutter Speed:
31/25000 sec
Metering Mode:
Multi-Spot
Gallery RSS
|
Archive View
|
Login
|
Powered by
Zenphoto