Table of Contents
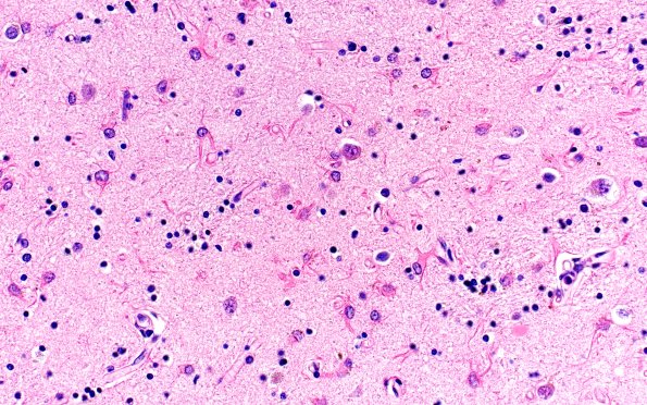
Washington University Experience | NEURODEGENERATION | Huntington Disease | 5C3 (Case 5) N2 H&E N2 40X
Routine H&E stained sections show severe neuronal loss (>90%) and marked astrocytosis throughout the caudate and putamen. (H&E)
