Table of Contents
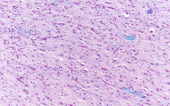
Washington University Experience | NEURODEGENERATION | Huntington Disease | 6C3 (Case 6) N2 WM LFB-PAS 20X 2
Fascicles of myelinated axons contained within the globus pallidus and putamen show evidence of myelin loss at several magnifications. (LFB-PAS)
