Table of Contents
« prev
next »
Washington University Experience
|
NEURODEGENERATION
|
Huntington Disease
|
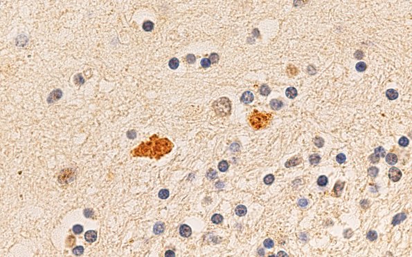
6D (Case 6) N2 Ubiq 100X
In this section scattered neurons show mostly cytoplasmic inclusions in neurons. (Anti- Ubiquitin IHC)
Image Info
Camera Maker:
Olympus
Camera Model:
DP74
Shutter Speed:
19/400 sec
Metering Mode:
Multi-Spot
Gallery RSS
|
Archive View
|
Login
|
Powered by
Zenphoto