Table of Contents
« prev
next »
Washington University Experience
|
NEURODEGENERATION
|
Huntington Disease
|
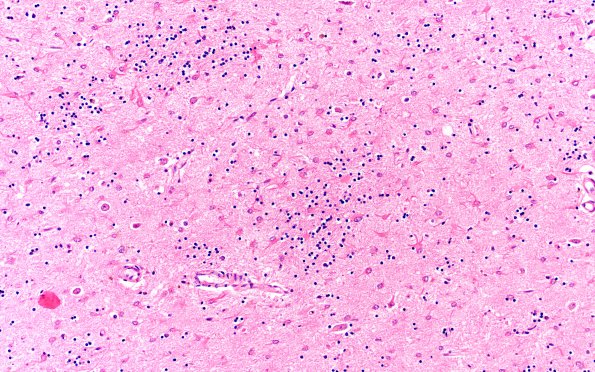
8E2 HD (Case 8) L6 put 1C2 40X
The caudate nucleus and putamen show marked neuronal loss, astrocytosis, rarefaction and microvacuolation. (H&E)
Image Info
Camera Maker:
Olympus
Camera Model:
DP74
Shutter Speed:
3/3125 sec
Metering Mode:
Multi-Spot
Gallery RSS
|
Archive View
|
Login
|
Powered by
Zenphoto