Table of Contents
« prev
next »
Washington University Experience
|
NEURODEGENERATION
|
Huntington Disease
|
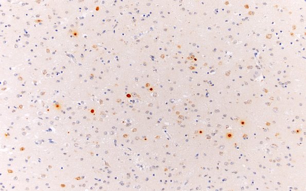
8F1 HD (Case 8) L6 1C2 cortex 1C2 20X
8F1-3 Polyglutamine-positive (1C2) inclusions are numerous in the caudate and putamen.
Image Info
Camera Maker:
Olympus
Camera Model:
DP74
Shutter Speed:
3/3125 sec
Metering Mode:
Multi-Spot
Gallery RSS
|
Archive View
|
Login
|
Powered by
Zenphoto