Table of Contents
« prev
next »
Washington University Experience
|
NEURODEGENERATION
|
Huntington Disease
|
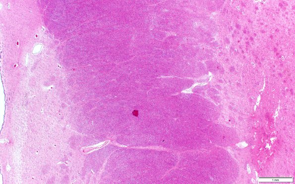
9B2 Huntington Dz (Case 9) N2 H&E 2x scale
The caudate and putamen are atrophic and gliotic, notice the scale bar. (H&E)
Image Info
Camera Maker:
Olympus
Camera Model:
DP74
Shutter Speed:
31/100000 sec
Metering Mode:
Multi-Spot
Gallery RSS
|
Archive View
|
Login
|
Powered by
Zenphoto