Table of Contents
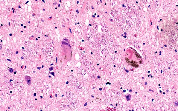
Washington University Experience | NEURODEGENERATION | Lewy Body Disease (LBD) | 5 LBD - Microscopic Pathology - Brainstem | 17A1 PD, Lewy body shape (Case 17) H&E 1
17A1-3 Lewy bodies may be unusual shapes and sizes (18, arrowhead). (H&E)
