Table of Contents
« prev
next »
Washington University Experience
|
NEURODEGENERATION
|
Multiple Systems Atrophy (MSA)
|
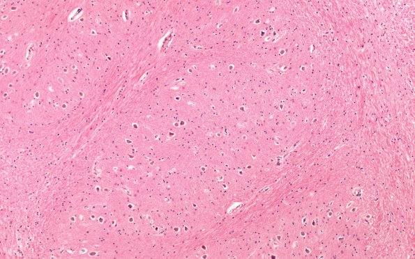
13E1 MSA (Case 13) N8 H&E olive 10X
13E1,2 Neurons of the ION are diminished with white matter astrocytosis and scattered GCI. (H&E)
Image Info
Camera Maker:
Olympus
Camera Model:
DP74
Shutter Speed:
14/27451 sec
Metering Mode:
Multi-Spot
Gallery RSS
|
Archive View
|
Login
|
Powered by
Zenphoto