Table of Contents
« prev
next »
Washington University Experience
|
NEURODEGENERATION
|
Multiple Systems Atrophy (MSA)
|
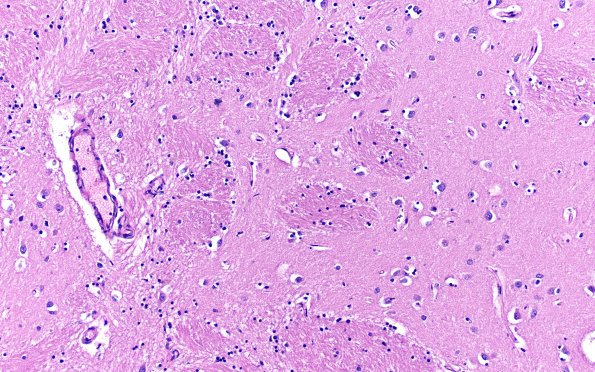
16B1 MSA (Case 16) H&E L17 20X
16B1,2 There is little loss of neurons in the putamen, although the white matter shows scattered GCI. (H&E)
Image Info
Camera Maker:
Olympus
Camera Model:
DP74
Shutter Speed:
31/25000 sec
Metering Mode:
Multi-Spot
Gallery RSS
|
Archive View
|
Login
|
Powered by
Zenphoto