Table of Contents



Washington University Experience | NEURODEGENERATION | Multiple Systems Atrophy (MSA) | 20A1 MSA (Case 20) FLAIR T2 - Copy - Copy

20A1 MSA (Case 20) FLAIR T2 - Copy - Copy
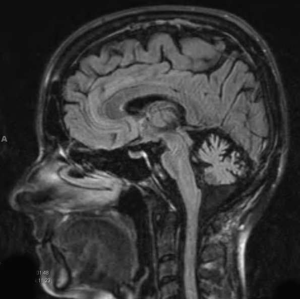
This FLAIR MRI image shows cerebellar vermal atrophy and a shrunken pons.


Gallery RSS RSS Feed | Archive View | Login | Powered by Zenphoto