Table of Contents



Washington University Experience | NEURODEGENERATION | Multiple Systems Atrophy (MSA) | 2H2 MSA (Case 2) L12 Medulla ION pSYN 16

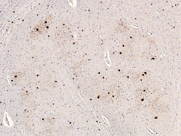
2H2 MSA (Case 2) L12 Medulla ION pSYN 16
2H2,3 The ION neurons and neurites are strongly pSYN immunoreactive. (pSYN IHC)


Gallery RSS RSS Feed | Archive View | Login | Powered by Zenphoto