Table of Contents



Washington University Experience | NEURODEGENERATION | Multiple Systems Atrophy (MSA) | 2J1 MSA (Case 2) L6 Basal Ganglia pSYN 6

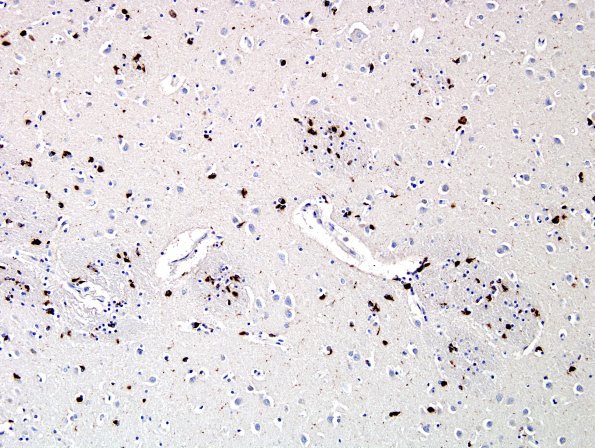
2J1 MSA (Case 2) L6 Basal Ganglia pSYN 6
2J1,2 GCI are striking in the pencil fibers, shown at two magnifications. (pSYN IHC)


Gallery RSS RSS Feed | Archive View | Login | Powered by Zenphoto