Table of Contents



Washington University Experience | NEURODEGENERATION | Multiple Systems Atrophy (MSA) | 2L3 MSA (Case 2) L11 pSYN 5

2L3 MSA (Case 2) L11 pSYN 5
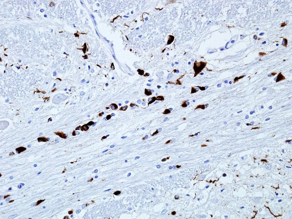
Closeup of pontine white matter showing numerous oligodendroglial GCI. (pSYN IHC)


Gallery RSS RSS Feed | Archive View | Login | Powered by Zenphoto