Table of Contents
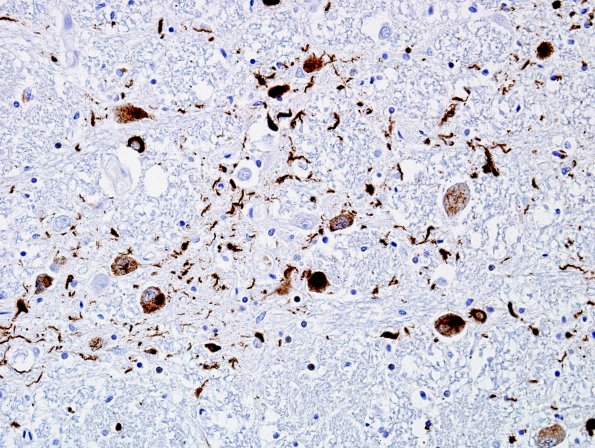
Washington University Experience | NEURODEGENERATION | Multiple Systems Atrophy (MSA) | 2L7 MSA (Case 2) L11 pSYN 15
Numerous pontine neuron (largely cytoplasmic) inclusions and neurites. (pSYN IHC) ---- Final Neuropathologic Diagnoses: Multiple system atrophy (striatonigral degeneration-type, or parkinsonism-type; MSA-P, Gilman et al. criteria [PMID: 10223419] ---- Neuro Diagnosis Comment: Lewy bodies and Lewy neurites are not present anywhere in the neuraxis so Parkinson's disease is excluded as a possible diagnosis. No diffuse beta-amyloid plaques and no neuritic plaques are seen so Alzheimer’s disease is also excluded.
