Table of Contents



Washington University Experience | NEURODEGENERATION | Multiple Systems Atrophy (MSA) | 3A2 MSA (Case 3) Pons H&E 4

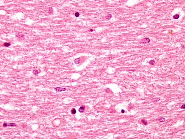
3A2 MSA (Case 3) Pons H&E 4
The pontine white matter tracts show numerous GCI. (H&E)


Gallery RSS RSS Feed | Archive View | Login | Powered by Zenphoto