Table of Contents



Washington University Experience | NEURODEGENERATION | Multiple Systems Atrophy (MSA) | 4D MSA (Case 4) Pons L11 H&E 1

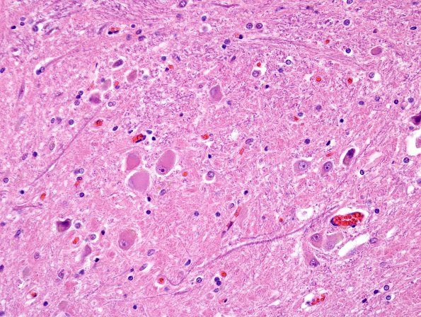
4D MSA (Case 4) Pons L11 H&E 1
The neurons of the basis pontis appear to contain cytoplasmic inclusions. (H&E)


Gallery RSS RSS Feed | Archive View | Login | Powered by Zenphoto