Table of Contents
Washington University Experience | NEURODEGENERATION | Multiple Systems Atrophy (MSA) | 8D1 Multiple system atrophy (MSA, Case 8) Cbell H&E 3.jpg
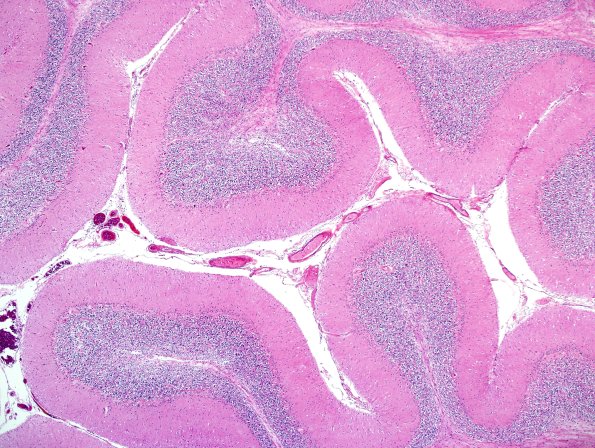
8D1,2 There is severe neuronal loss in the Purkinje cell layer (and in the dentate nucleus, not shown). The deep white matter shows marked pallor, astrocytosis and scattered GCIs. (H&E) ---- There is severe neuronal loss in the Purkinje cell layer (and in the dentate nucleus, not shown). The deep white matter shows marked pallor, astrocytosis and scattered GCIs. (H&E) ---- Not shown: The substantia nigra shows severe neuronal loss and gliosis, accompanied by extracellular and phagocytosed pigment. GCIs are numerous throughout the midbrain, including the substantia nigra, red nucleus and are most frequent in the crus cerebri. No Lewy bodies are seen. There is no significant neuronal loss in the IML of the thoracic spinal cord and the residual neurons in the intermediolateral nucleus which do not show inclusions.. pSYN immunoreactive GCIs are present in relatively modest numbers in the central gray and white matter tracts. ---- Neuro Final Diagnosis: Multiple system atrophy (cerebellar variant; MSA-C, Gilman et al. PMID: 10223419). ---- Comment: Lewy bodies and Lewy neurites are not present anywhere in the neuroaxis so Parkinson's disease is excluded as a possible diagnosis. In the NIA-AA this is A1,B1,C0 and indicates only a low probability of cognitive impairment caused by AD. This patient's parkinsonism, autonomic dysfunction, and cerebellar signs are most likely explained by MSA .
