Table of Contents
« prev
next »
Washington University Experience
|
NEURODEGENERATION
|
Multiple Systems Atrophy (MSA)
|
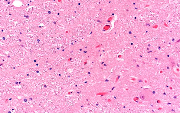
9F4 MSA IML (Case 9) H&E 40X 1
This IML is mildly gliotic with only a single remaining neuron. (H&E)
Image Info
Camera Maker:
Olympus
Camera Model:
DP74
Shutter Speed:
9/2521 sec
Metering Mode:
Multi-Spot
Gallery RSS
|
Archive View
|
Login
|
Powered by
Zenphoto