Table of Contents
« prev
next »
Washington University Experience
|
NEURODEGENERATION
|
NBIA1 (PKAN, Hallervorden-Spatz Dz)
|
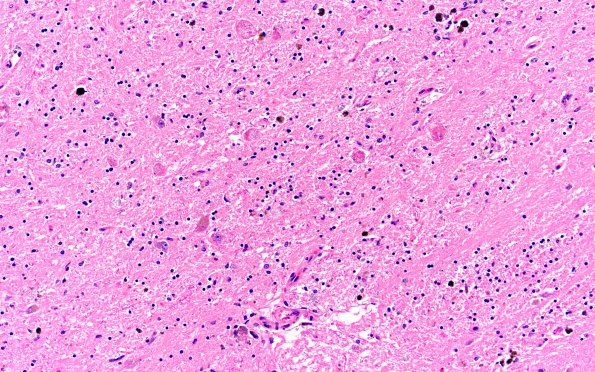
3B3 Hallervorden-Spatz Dz (Case 3) L17 GP H&E 20X
There is striking astrocytosis, pigment deposition and granular spheroids (H&E)
Image Info
Camera Maker:
Olympus
Camera Model:
DP74
Shutter Speed:
24/20339 sec
Metering Mode:
Multi-Spot
Gallery RSS
|
Archive View
|
Login
|
Powered by
Zenphoto