Table of Contents
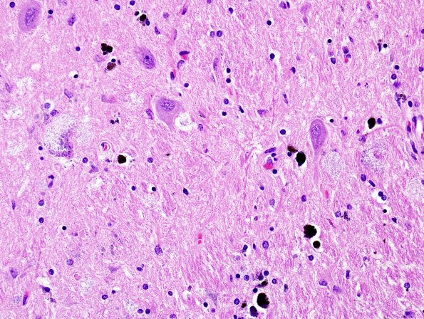
Washington University Experience | NEURODEGENERATION | NBIA1 (PKAN, Hallervorden-Spatz Dz) | 3E5 Hallervorden-Spatz Dz (Case 3) H&E Midbrain 1
Higher magnification shows numerous pale granular spheroids in addition to classic red stained forms (H&E)
